80-летняя женщина поступила в Воронежскую больницу скорой медицинской помощи №1 с подозрением на инсульт — у неё были проблемы с речью и слабость в правой руке. При стандартном обследовании с помощью компьютерной томографии выяснилось, что инсульта нет.
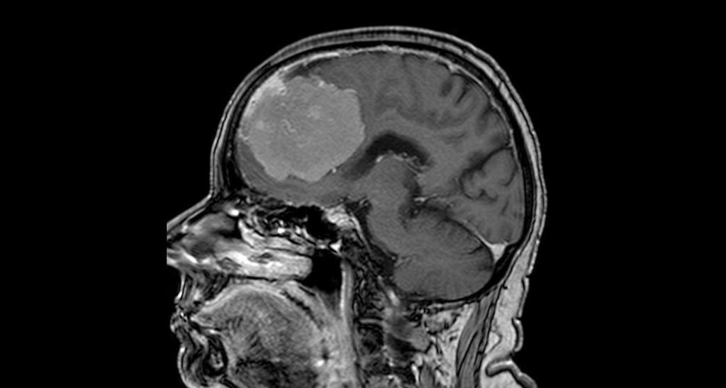
Однако была обнаружена опухоль в обеих лобных долях мозга размером 6х7х8 см.
Подобные новообразования так или иначе затрагивают важные участки мозга – кровеносные сосуды и зоны, отвечающие за речь и движение. Дополнительное исследование с контрастом показало, что опухоль окутывала магистральные сосуды Велизиевого круга – переднюю мозговую артерию, а также прорастала в переднюю треть сагиттального синуса (один из наиболее крупных венозных коллекторов головного мозга) и закрывала его.
Главной задачей врачей было не только удалить опухоль, но и сохранить здоровье пациентки – не повредить жизненно важные сосуды и участки мозга, чтобы избежать осложнений.
Команда нейрохирургов тщательно планировала действия с помощью специальной навигационной системы. Операция длилась 6 часов – врачи удаляли опухоль миллиметр за миллиметром и полностью от неё избавились. Все важные сосуды были сохранены.
Операционная бригада:
- Нейрохирург, заведующий нейрохирургическим отделением БСМП №1 – Павел Юров;
- Нейрохирург – Виталий Бойко;
- Операционная медсестра – Анна Романова;
- Анестезиолог, заведующий отделением анестезиологии больницы – Андрей Руденко;
- Анестезиологическая медсестра – Галина Сухотерина.
Послеоперационный период у пациентки, по её словам, проходит хорошо. Женщина обслуживает себя самостоятельно, а неврологическая симптоматика спала сразу после вмешательства.
По состоянию на сегодняшний день, пациентка уже выписана из медучреждения на амбулаторное лечение.
Категории: Региональные новости.




Комментарии: 0