Врачи Регионального сосудистого цента Мытищинской больницы вернули к жизни 48-летнего мужчину с редкой и опасной формой инсульта.
Пациент несколько месяцев чувствовал недомогание, но однажды утром просто не смог встать с кровати. Бригада скорой помощи доставила его в больницу с сильным головокружением и тошнотой. Благодаря точной диагностике врачи быстро поняли, что ситуация критическая — у мужчины случился «ночной» инсульт, который часто маскируется под легкое недомогание. У пациента не было паралича, руки и ноги работали, речь была внятной.
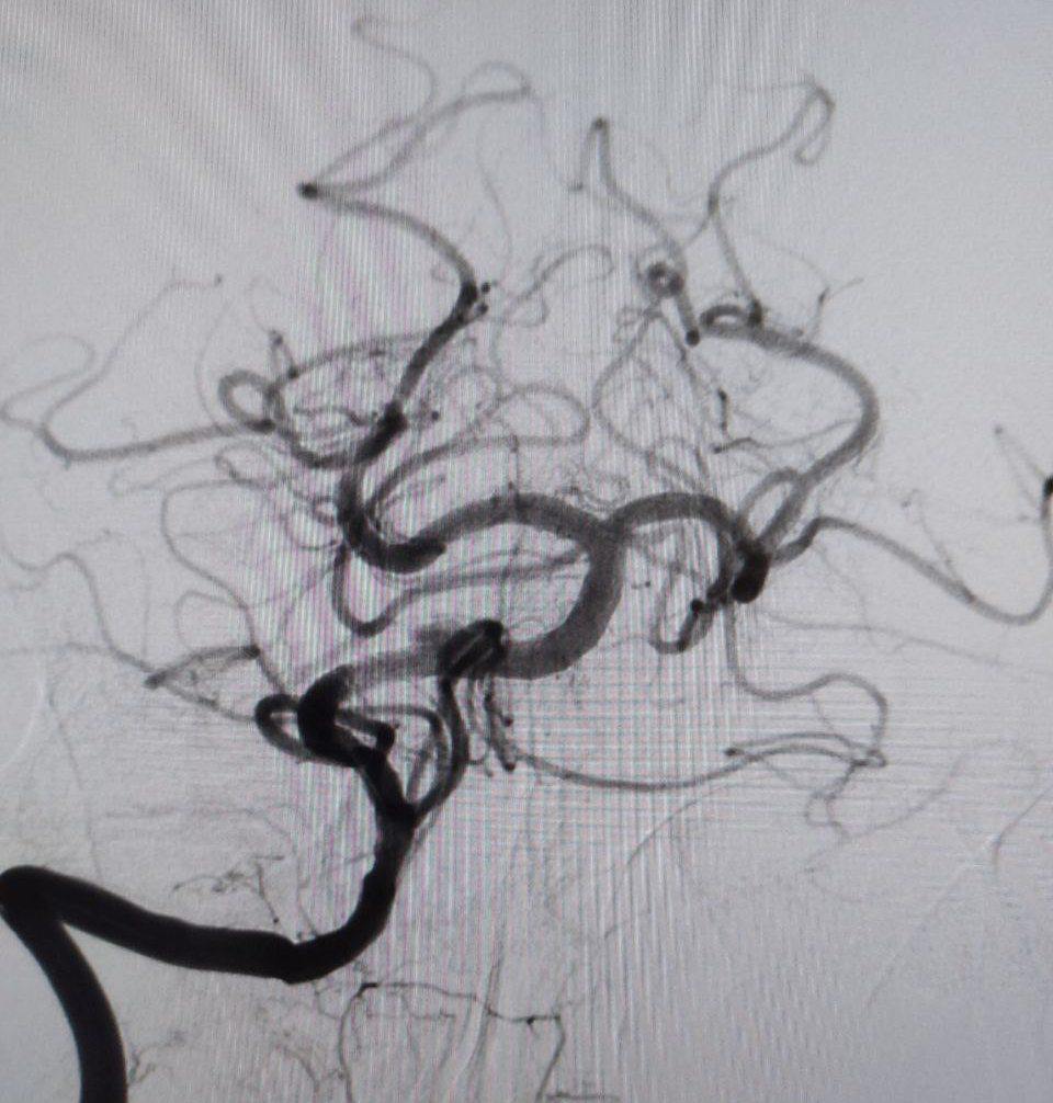
— У пациента был выявлен атеротромбоз — тромбоз на фоне атеросклеротической бляшки — основной артерии, которая обеспечивает кровоснабжение важнейших отделов головного мозга. Это очень тяжелое состояние с крайне высокой летальностью. Операция длилась около часа. После удаления тромба в артерии осталась бляшка, критически суживающая ее просвет: потребовалась имплантации стента. К счастью, мы успели вовремя, и операция прошла успешно, — прокомментировала заведующий центром Элеонора Тулякова.
После лечения мужчина чувствует себя лучше, его уже выписали на амбулаторное лечение.
Врачи Регионального сосудистого центра призвали серьезно относится к симптомам, которые могут говорить о приближении сосудистой катастрофы. Ни в коем случае нельзя игнорировать повторяющееся головокружение, особенно в сочетании с шаткостью походки. Зачастую выявить истинную причину такого состояния можно только с помощью высокотехнологичного оборудования в условиях стационара.
Категории: Региональные новости.




Комментарии: 0