Специалистами Отдела рентгенэндоваскулярныхметодов диагностики и лечения НМИЦ кардиологии им. ак. Е.И. Чазова Минздрава России выполнено сложное эндоваскулярноевмешательство — стентирование левой верхней и левой нижней легочных вен у пациента после радиочастотной абляции фибрилляции предсердий.
Фибрилляция предсердий - одно из наиболее распространённых нарушений ритма сердца, при котором сокращения предсердий становятся хаотичными и несинхронными с работой желудочков. Это состояние может приводить к формированию внутрисердечных тромбов и развитию тромбоэмболических осложнений. При неэффективности медикаментозной терапии применяется хирургическое лечение, в том числе радиочастотная абляция (РЧА), направленная на устранение источников патологической электрической активности.
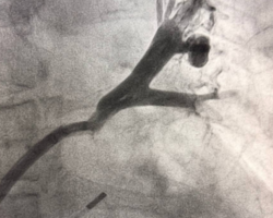
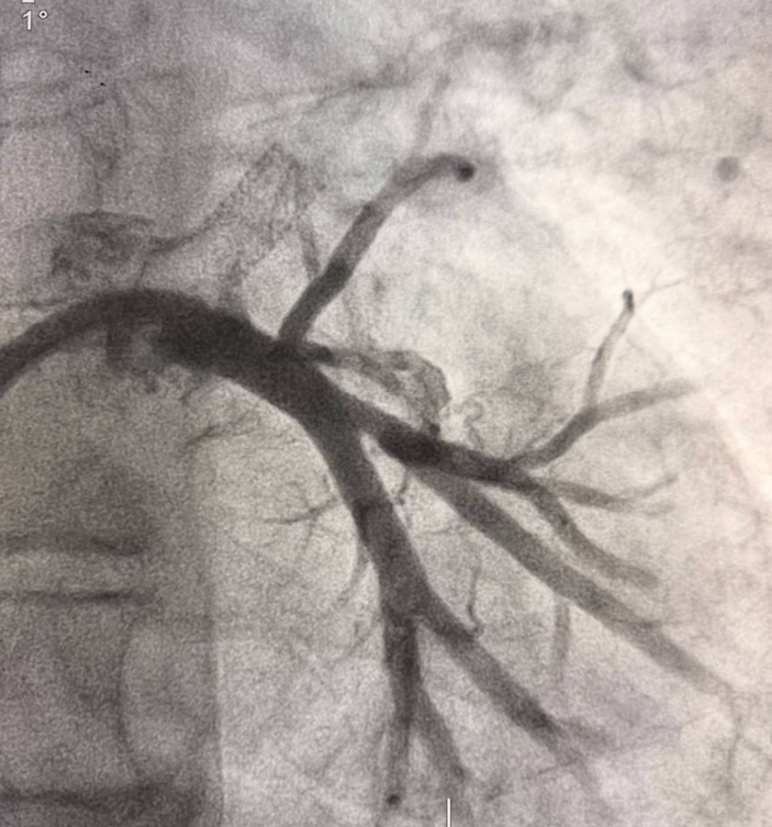
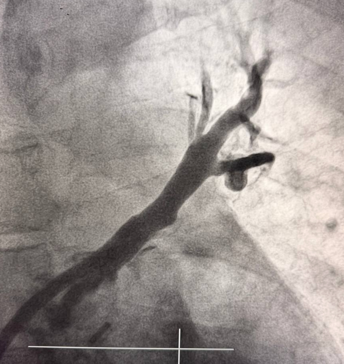
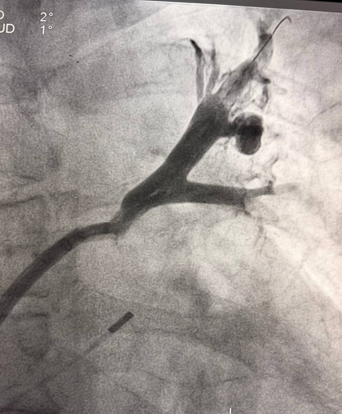
В редких случаях после проведения РЧА возможно развитие стеноза или окклюзии легочных вен. Это тяжёлое осложнение сопровождается выраженной одышкой, слабостью и прогрессированием сердечной недостаточности и требует своевременного вмешательства.
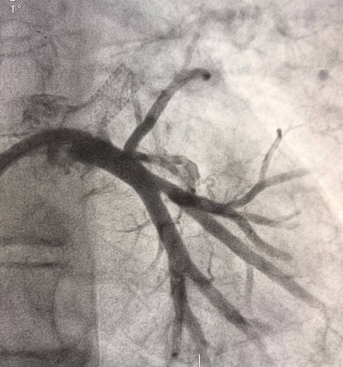
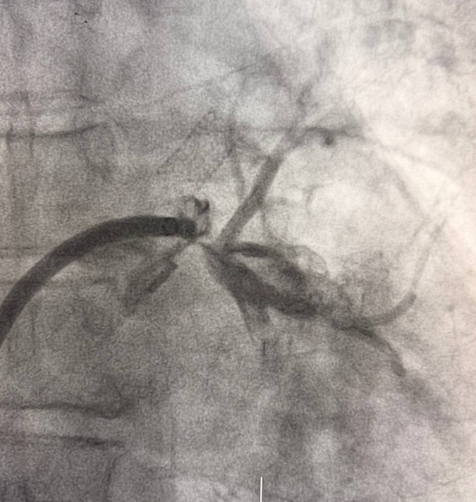
Пациент М., 54 лет наблюдался с длительной историей нарушений ритма сердца. Ранее ему была выполнена криоабляция, а спустя два года — радиочастотная абляция. Через два месяца после РЧА у пациента появились выраженная слабость и одышка при физической нагрузке. При дообследовании выявлены окклюзии левой верхней и левой нижней легочных вен.
С учётом тяжести состояния и высокого риска дальнейшего прогрессирования заболевания было принято решение о проведении эндоваскулярного восстановления проходимости легочных вен. Стентирование одновременно двух легочных вен является технически крайне сложным вмешательством и требует высокой экспертной подготовки. Подобные операции выполняются в ограниченном числе специализированных центров и НМИЦ кардиологии им. ак. Е.И. Чазова Минздрава России располагает наибольшим в стране опытом лечения данной категории пациентов.
Операцию выполняли руководитель отдела рентгенэндоваскулярных методов диагностики и лечения, д.м.н. Евгений Меркулов, руководитель лаборатории хирургических и рентгенохирургических методов лечения нарушений ритма сердца, д.м.н. Олег Сапельников, врач сердечно-сосудистый хирург, к.м.н. Дмитрий Черкашин, а также ординатор 2 года обучения отдела рентгенэндоваскулярных методов диагностики и лечения Тигран Петросян. Анестезиологическое пособие обеспечивали сотрудники блока интенсивного наблюдения первого кардиологического отделения под руководством руководителя Отдела неотложной кардиологии, д.м.н. Дмитрия Певзнера.
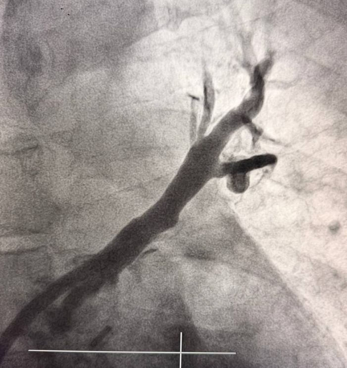
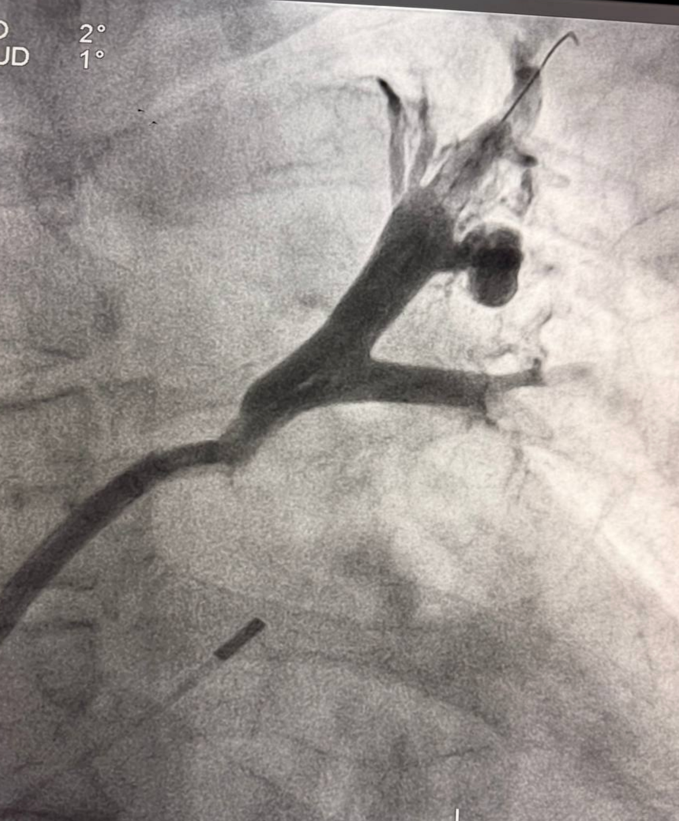
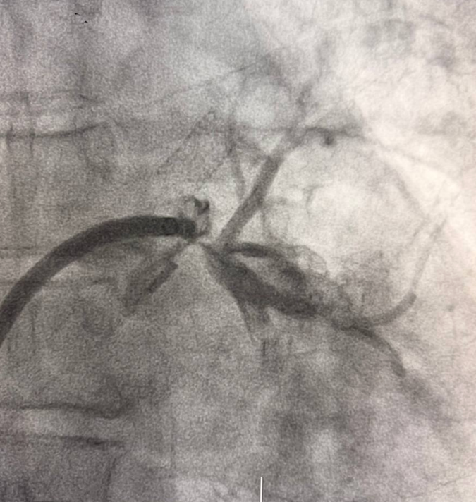
Вмешательство проводилось через бедренный венозный доступ под местной анестезией. Основная сложность операции заключалась в полной окклюзии обеих легочных вен и необходимости точной навигации инструментов в условиях ограниченной визуализации. После реканализации поражённых участков были имплантированы стенты, обеспечившие надёжное восстановление просвета сосудов и полноценный венозный отток из лёгких.
В результате кровоток по левой верхней и левой нижней легочным венам полностью восстановлен. Состояние пациента стабилизировалось, одышка регрессировала. В настоящее время пациент чувствует себя хорошо.
Успешное выполнение данного вмешательства стало возможным благодаря высокой квалификации специалистов и слаженной междисциплинарной работе сотрудников отдела рентгенэндоваскулярных методов диагностики и лечения, лаборатории хирургических и рентгенохирургических методов лечения нарушений ритма сердца, а также блока интенсивного наблюдения первого кардиологического отделения. Результат операции демонстрирует возможности современных эндоваскулярных технологий и высокий уровень экспертной помощи, оказываемой в НМИЦ кардиологии им. ак. Е.И. Чазова Минздрава России.




Комментарии: 0